種牙真功夫,好口福更幸福!……
今天(2024年6月26日)上午,新橋口腔“零距植擊 缺牙重生”數字化種植手術直播在成都衣冠廟院區圓滿舉行。應廣大群眾呼聲,本次直播規??涨皵U大,新橋口腔四城十院候診區均同步直播了本場種植手術,不僅吸引了一百多位缺牙市民親自前來,更有近千位觀眾實時在線,共同圍觀了39歲的劉先生僅用10分鐘實現缺牙重生的全過程,見證了新橋口腔“種牙真功夫”。

活動現場人氣爆棚
豪華陣容 彰顯種牙真功夫
作為種植直播開展以來規模最大的一次,本次活動重磅邀請了擁有近30年口腔臨床經驗的新橋口腔成都衣冠廟院區種植??浦魅我兹A波醫生擔綱主刀,新橋口腔數字化診療中心主任、華西口腔種植碩士李丹攜手衣冠廟院區咨詢主管吳海燕對手術進行同步講解。

數字化種植手術實時直播觀看
手術開始前,李丹主任先介紹了種植顧客基本情況:“劉先生是一位正在進行正畸治療的顧客,很多年前就因為齲壞導致多顆牙缺失,所以我們在種植時,需要同時考慮牙齒后期位移、固定之間的沖突和矛盾,這無疑增加了種植難度。”為了達到更好的效果,李丹主任表示:“正畸和種植??漆t生進行了雙重評估,并通過數字化拍片、3D口掃和三維重建,為劉先生定制了專屬數字化種植方案。”

李丹主任講解數字化種植設計
在觀眾專心致志聽講中,手術室已準備就緒。上午10點24分,直播大屏上開始實時轉播易華波主任術中的每一個細節——從局部麻醉到創口預備,再到種植體精準植入,最后縫合創口,他用近30年口腔臨床經驗,為大家展示了一場高水平的“種牙真功夫”。

李丹主任攜手吳海燕主管現場直播講解
與此同時,李丹主任和吳海燕主管跟著手術的每一個關鍵步驟,為觀眾們深入淺出的講解了其中的操作要點。吳海燕主管表示:“新橋口腔開展種植牙治療十余年,積累了10萬多成功種牙案例,由此總結出的種植牙‘十項金標準’,不僅是行業種植操作標桿,也完全可以作為廣大缺牙市民甄別好壞種植牙的標準,希望大家都能選擇適合自己的種牙機構和方式,重拾好口福。”
僅10分鐘 劉先生完成缺牙新生
整個手術從開始到完成僅僅用了10分鐘,在大家熱烈的掌聲中,易華波主任和劉先生重回直播現場。

易華波主任和劉先生合影

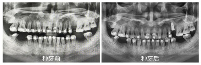
劉先生術前術后全景片對比
雖然麻醉還未完全褪去,但劉先生面色輕松,他用止不住興奮的語氣說道:“完全不痛,全程非常舒適,感覺非常好!”

劉先生術后分享種牙體驗
易華波主任對本次手術進行了簡單總結并表示:“顧客對手術的未知與不確定,是恐懼種牙的根源。而將手術全過程以直播的形式向大家展現,讓大家看到我們醫生是怎么做的,手術是怎么進行的,這對于建立良好的醫患關系,提升彼此之間的信任起著非常重要的作用。”

易華波主任術后案例總結
種而言之 全口種牙顧客現身說法
活動現場,兩位新橋口腔顧客向大家分享了自己全口種牙的親身體驗。滿頭銀發但精神矍鑠的王叔叔表示:“剛開始接觸種植牙的時候我有很多顧慮,擔心手術過程會不會很漫長、很痛苦,對于種植手術也是一知半解。多方比對后我還是選擇相信新橋口腔的專業實力,沒想到種牙的時候完全不痛,后面使用效果也非常好,我非常滿意!”方先生則講述了自己因為口腔情況復雜、種牙難度大被很多口腔醫療機構拒絕的經歷,他表示:“最終還是在新橋口腔重獲了一口好牙,所以就在昨天,我帶著我的父母都來做了全口種植,結果非常成功!”

全口種牙顧客分享
新橋口腔品質傳承二十年,始終堅持以專業實力立根,憑借過硬的醫療實力成為西部種植行業領跑者。未來,新橋口腔也將繼續發揮自身優勢,讓更多缺牙市民體驗“種牙真功夫”,重拾好口福!