種牙真功夫,好口福更幸福!……
2024年3月以來,新橋口腔成都各院連續開展了多場“零距植擊 缺牙重生”數字化種植手術直播,引發大量缺牙市民咨詢和報名。鑒于往期直播觀眾較多,場面異?;鸨瑸楸U虾罄m活動中每位到院觀眾和顧客的良好體驗,今天(7月26日)上午,新橋口腔高新院區種植手術直播正式開啟實名、限量門票入場制,60位“搶票”成功的半全口缺牙市民來到現場,與大咖醫生零距離互動,圍觀了33歲陸女士20分鐘缺牙重生全過程,親眼見證新橋口腔“種牙真功夫”!

活動現場座無虛席
大咖操刀 華西碩士精彩解讀
本場直播,依舊延續了往期豪華陣容。手術由新橋口腔高新院區副主任醫師吳建方醫生操刀,吳醫生從事口腔臨床工作近20年,累計完成數萬例成功種牙案例,憑借高超的技術和親切的表達風格,受到廣大顧客的喜愛,曾受邀擔任四川電視臺《種牙有道》節目嘉賓,為廣大市民科普種植牙。同時,為了讓來賓們真正看懂手術過程并及時答疑解惑,新橋口腔數字化診療中心主任、華西口腔種植碩士李丹醫生和高新院區預診主任宋丹丹也聯袂出場,細致解讀了手術直播的全過程。

數字化種植手術實時直播觀看
術前,李丹主任為大家介紹了數字化種植手術的特點和優勢:“通過3D口掃技術獲取牙齒和牙槽骨的數字化影像,在高精度數據的支持下,醫生能夠定制個性化的種植方案。”李丹主任表示:“數字化技術對種植體植入位置、深度、方向的精準定位,對經驗豐厚的醫生來說簡直是如虎添翼,對后期的種植修復也相當有益。”

李丹主任講解數字化種植設計
上午10:20分,備受矚目的手術直播正式開始。通過實時轉播大屏,現場觀眾見證了吳建方醫生有條不紊地進行術前局部麻醉、備洞、植入植體、嚴密縫合等一系列步驟。游刃有余的操作過程,讓大家對新橋口腔的“種牙真功夫”有了更直觀深刻的印象。

李丹主任攜手宋丹丹主任現場直播講解
和李丹醫生的手術講解同步,宋丹丹主任充分發揮自己的經驗優勢,一對一為觀眾們答疑解惑:“新橋口腔配備三甲標準手術室,手術全程在無菌環境中進行,術中通過心電監護實時監測生命體征,保障顧客舒適、安全的種牙體驗。”
20分鐘缺牙重生 點贊種牙真功夫
上午10:39分,手術正式結束,吳建方醫生僅花費20分鐘,便為陸女士實現了缺牙重生。隨后二人在觀眾們如潮的掌聲中一同回到了直播現場。

吳建方醫生和陸女士術后合影

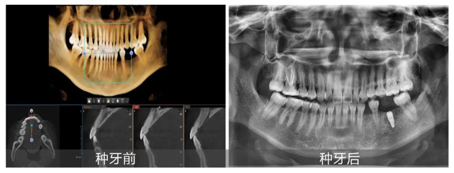
陸女士術前術后拍片對比
結合術后拍片結果,吳建方醫生對本次手術進行了簡單總結,現場觀眾們也紛紛利用和大咖面對面的機會,提出自己的疑問:“半口種牙需要多久?”“種植牙是一勞永逸的嗎?”吳醫生一一做了回答并表示:“非常高興能通過手術直播和答疑的方式,幫助顧客朋友們了解種植牙,這也促進了我和大家的充分了解與信任。希望大家都能用最適合自己的方式,重拾好口福!”

吳建方醫生為觀眾解答種牙疑惑
隨后,成功種牙的陸女士也來到臺前,向所有觀眾分享自己的手術體驗:“因為我的家人已經在新橋口腔成功種牙,所以我對此次手術是期待大于恐懼的。實際體驗下來,整個過程幾乎沒有痛感,而且很快很輕松,這也讓我更相信新橋口腔的實力與口碑!”

陸女士術后分享種牙體驗
口福體驗 全口種牙顧客親臨分享
活動現場,新橋口腔全口種牙顧客熊叔叔向大家分享了自己在新橋口腔的真實種牙體驗,他表示:“(新橋口腔的)醫療是很精細精準的,我做了全口種植牙,無任何痛苦,種了就可以吃東西。而且價格不貴,很實惠。我今年已經76了,但是我的家人朋友都說我(種牙后)年輕了10歲!”

熊叔叔分享全口種牙感受
從陌生到信賴,從慕名到“真愛”。這是千千萬萬顧客對種植牙和新橋口腔的情感遞進過程,也是新橋口腔長期為之努力的奮斗目標。未來,新橋口腔將不斷改進優化數字化種植直播活動和診療服務水平,幫助更多缺牙市民了解種植牙,早日重獲好口福!