輾轉多方求醫未果,90后女生在新橋終治齒患!……
“首先我不是托,我陸續在新橋治療也一年多了……我的主治醫生徐會值得我為她寫一篇贊美。”
近日,一位網友在社交媒體上發帖分享看牙經歷,講述了自己在新橋口腔看牙一年多的真實感受,并通過醫院工作人員轉達對徐會醫生的感謝。

遇庸醫釀舊疾,多方求醫無果
發帖人劉女士今年30歲,卻自稱是口腔科“老患者”。
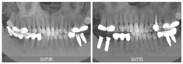
她自小牙齒不好,早年正牙過程中不幸遭遇正畸片切不當導致下頜右側兩顆磨牙嚴重受損,之后未經正規處理直接拔牙,造成重要磨牙缺失,嚴重影響咀嚼功能。隨后原治療機構采用傾斜智齒制作了不良烤瓷長橋修復,導致前磨牙牙髓壞死造成根尖炎。雪上加霜的是,五年前又被某口腔機構蹩腳醫生把上頜兩側磨牙做了不必要的牙冠,之后下頜左側兩顆磨牙也因種植體位置不正導致牙冠頻繁脫落,種植體也有折斷風險。
牙齒狀況頻出不僅讓劉女士的生活質量受到嚴重影響,更讓很多口腔機構不敢接招。“去了很多醫院,大多都讓我回找之前的醫生重新處理。如果當初的醫生足夠專業,我也不會受那么多苦了。”回憶那段經歷,劉女士依然難掩無奈和沮喪。
到新橋終齒患,意外之舉暖心
2023年10月,求醫屢屢碰壁的劉女士懷揣希望,慕名來到新橋口腔成都高新院區。

劉女士表示:“初次面診我就對徐會醫生很有好感,看牙這么多年我都‘久病成醫’了,醫生靠不靠譜我也能很快判斷。”
果然,徐會醫生不負所托輕松完成了劉女士下頜左側的牙冠修復。并對其他牙齒問題提出了一套綜合治療方案:先拆除不良修復體,拔除下頜右側的傾斜智齒,然后在缺牙處植入兩顆種植牙,并對前磨牙實施根管治療。這一方案更加微創,也更加經濟和高效。
在種植手術順利完成后,劉女士多次到院指定由徐會醫生負責后續下頜三顆牙齒的治療:“每一次治療結束,我都感覺離口腔健康更近了一步。感謝新橋口腔,感謝徐醫生,讓我看到了希望!”

在最近的一次根管治療過程中,當劉女士拿著治療費用清單準備繳費時,突然發現清單上少了根管補牙的材料費。
“我拿回去找徐醫生確認,才知道原來這項費用是她特意申請減免了的。”劉女士感動地說,“估計徐醫生考慮到我的治療周期比較長,花費較大,所以主動減免了一部分費用,而且她開單的時候并沒有告訴我這件事。”
“硬核技能”瘋狂圈粉,拔好牙才能種好牙
徐會醫生出身頜面外科,拔牙“快準狠”。作為一名 90后醫生,她的技術和經驗在圈中名氣不小,是很多顧客心目中“掌管拔牙的神”。
曾有一位接受過徐醫生治療的患者將其拔高難度智齒的牙片發布在小紅書,迅速引起了大量圍觀,甚至有不少同行也紛紛慕名而來留言點贊。

“以前就聽說徐醫生‘三秒拔牙’很厲害,親身經歷后更是佩服得五體投地。右邊兩顆大牙,感覺徐醫生不到半分鐘就拔完了,甚至后面也沒怎么腫和出血。”劉女士說道:“以前在其他醫院也拔過牙,不僅腫了好幾天,還要連續輸液,都有心理陰影了。沒想到在徐醫生這里這么輕松,我拔完兩顆牙回去就安安穩穩睡了個午覺,第三天就能吃火鍋,狀態特別好!”

網上好評如潮,醫術有口皆碑
面對患者的贊譽,徐會醫生表示,拔牙靠的是技巧,而非蠻力。在患者看來拔牙和種牙好像互不相關,拔牙是在破壞牙齒,而種牙是在修復牙齒,但它們之間的關系是非常密切的,把牙拔好了,后面才能種得更好,種牙時也能更省錢。

新橋口腔2024病例大賽上,徐會醫生受邀擔任頜面外科專業的評委,也是大賽最年輕的評委成員
以信任為橋,共筑口福未來
“在醫療行業日益商業化的今天,像徐醫生這樣技術過硬又不失溫情的醫生,很難不讓人感到敬佩與信任。”劉女士補充道:“尤其我親身經歷過庸醫的困擾,更明白專業與真誠的價值。所以我愿意主動站出來為徐醫生打CALL,為新橋發聲。”
新橋口腔成都高新院區業務院長、原華西口腔醫院種植專家李華表示,我們非常感激每一位像劉女士這樣的患者,你們的真實反饋和支持,不僅是對我們工作的最大肯定,也是推動我們不斷進步的重要動力。未來,新橋口腔將繼續堅持“以患者為中心”的服務理念,不斷提升醫療技術和管理水平,致力于為廣大患者提供更有溫度、更加優質、高效的口腔健康服務。